ccording to the results of the Framingham Heart Study, the Multi-Ethnic Study of Atherosclerosis, and the Nurses Health Study, obese patients had double times higher risk of developing heart failure (HF), and the progression of cardiovascular diseases was 4.1 times higher compared with persons with average weight [2,3]. According to the ESSE study, obesity is the third leading risk factor for CVD after dyslipidemia and hypertension. It has been shown that people suffering from abdominal obesity, having the same waist circumference, may differ markedly in the presence of cardiometabolic risk factors. In addition to the total amount of adipose tissue in the body, its distribution is significant -it is the visceral adipose tissue. According to the results of numerous studies, it is recognized as a pathogenetic platform for the development of metabolic disorders, atherosclerotic vascular lesions, and CVD [3,17,19,20]. The widespread introduction of radiological diagnostic methods has made it possible to classify obesity into visceral (VO) and subcutaneous (SC), depending on the location of excessive fat accumulation. A wealth of scientific and medical evidence suggests that VO is associated with an increased risk of morbidity and mortality from CVD, including stroke, congestive heart failure, and myocardial infarction.
Accumulation of fat in the visceral region is not the only metabolically active fat depot; at least six more regional depots are characterized by similar disorders against the background of chronic inflammation [1]. More and more data on the effect of epicardial fat depots (EFD) on the risk of developing cardiovascular pathology [3,4,5]. Currently, the study of not only abdominal obesity but also other ectopic fat depots, such as EFD and perivascular fat, has become relevant since their close relationship with the degree of atherosclerotic lesions of the coronary arteries has been revealed [3].
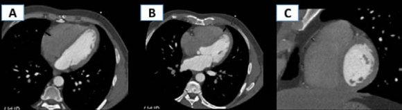
As can be seen from these data, the historical concept of the relationship between obesity and cardiovascular disease (CVD) has changed in recent years, considering the emerging new results from prospective studies. EAT is fatty tissue located between the myocardium and the visceral pericardium, while paracardial fat is located outside the heart. Epicardial and paracardial adipose tissue targets in-depth studies due to their close topographic and anatomical location to the coronary arteries and myocardium (Fig. 1). The study of the relationship between the volume of EAT and the state of the coronary arteries (CA) in patients with coronary artery disease can be essential for predicting the course of CVD. The study of the diversity of pathogenetic mechanisms of increasing the risk of CVD development due to the summation of the effects of a fat depot on CA atherogenesis is a promising area of preventive cardiology. In this regard, the purpose of this study was to assess the amount of EAT using volumetric MSCT and to study the correlation of this indicator with the degree of atherosclerotic lesions of the coronary artery.
We examined 96 patients with coronary artery disease, angina pectoris of FC II and III, who were admitted for examination and treatment at the State Institution "RSPMTSH named after Academician V. Vakhidov" in the period from 2019 to 2020. The average age was 59.72±1.58 years; 51 (53%) men and 45 (47%) women.
MSCT was performed on the "Aquillion one" apparatus of the "Genesis" version (Toshiba, Canon), which allows the study to be carried out in a 640-section mode. Patients underwent native scanning, MSCT angiography of CA, as well as non-contrast MSCT study with determination of the volume and thickness of the EAT, the area of epicardial (paracoronary) and paracardial fat using a particular protocol Fat measurement, with obtaining data on the visceral fat depot.
Volume MSCT angiography of CA was performed after intravenous injection of 50-70 ml of contrast medium (CM) at a rate of 4-6 ml/s. Were used ?-blockers to reduce the pulse to the required level -60-70 beats per minute. Patients with renal insufficiency, severe calcification and multiple stents of the coronary arteries were excluded from the study.
All studies were interpreted by two radiologists using the original axial image. The datasets have been converted and retrieved from the Vitrea workstation. Coronary cross-sections were generated and transformed into curvilinear multi-plane MPR, MIP and VR reconstructions. The severity of coronary atherosclerosis was classified as hemodynamically significant and insignificant location of coronary artery stenosis according to the standardized CAD-RADs system (the first group -CAD-RADs 1,2 and the second group -CAD-RADs 3,4). The average sizes of CA stenosis were determined at points free from atherosclerotic lesions.
All changes in the volume and thickness of the EAT were made in the most static phase of the cardiac cycle -in the mid-diastolic phase of the cardiac cycle by 70-80% of the R-R interval.
The measurement of the EAT thickness was carried out in the projection s/3 RCA, d/3 LAD at the level of the interventricular septum and along the lateral wall of the right ventricle (Fig. 2), taking into account the average value of all measurements.
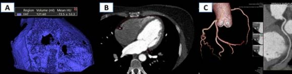
The area of EAT was calculated at the basal level of the ventricles of the heart along the short axis, as well as the area of adipose tissue of the pericoronary region at the level of the left coronary artery (LCA) trunk, n/3 of the anterior interventricular branch (AIVB) and n/3 of the right coronary artery (RCA) with manual designation of the locus of interest and automatic measurement of the EAT area. The volume of EAT was calculated by MSCT angiography of CA using the "Fat measurement" option. Produced targeted isolation of EAT in the density range of -150-70 HU, followed by manual correction of the epicardial boundaries and automatic determination of adipose tissue volume in a given area with a 3D reconstruction of the total volume. Statistical analysis of the data obtained was carried out using the Stattech software package.
In patients with coronary artery disease, the following quantitative indicators were analyzed: thickness, area and volume of EAT. The severity of atherosclerotic lesions was judged by the degree of coronary artery stenosis, as well as the number of affected coronary arteries.
It was found that the average value of the EAT volume in hemodynamically insignificant (HDIS) stenoses was 131 ± 6.81 mm³, and in hemodynamically significant (HDS) stenoses -198 ± 13.8 mm³ (p <0.05). The thickness of the EAT at the level of s / 3 RCA with HDIS stenosis was 14.7 ± 0.75 mm, and with HDS stenoses 15.5 ± 0.58 mm (p> 0.05), the thickness of the EAT at the level of the free wall of the RV in HDIS stenosis was 5.32 mm ± 0.33 mm, and with HDS stenoses 5.11 ± 0.39 mm (p> 0.05), the thickness of the EAT at the level of d / 3 AIVB in HDIS stenosis was 5.02 ± 0.33 mm, and with HDS stenoses 6.29 ± 0.39 mm (p <0.05), while it was revealed that with HDS stenoses, thickness <5 mm was detected in 70% of patients, and with HDS stenoses> 5 in 83 % of patients (p <0.05).
The area of EAT at the level of both ventricles with HDIS stenoses was 7.5±0.51 cm², and with HDS stenoses this area was 8.36 ± 0.65 cm² (p <0.05), and in 87% of patients it was > 7 cm². The pericoronary area of the EAT with HDIS stenosis was 7.34 ± 0.86 cm 2 , in this group <7 cm 2 was found in 69% of patients, and with HDS stenoses this area was 9.23±1.12 cm 2 (p<0.05). When comparing the area of paracardial adipose tissue (PAT) with HDIS stenoses was 14.7±1.58 cm², and with HDS stenoses 17.4±2.47 cm² (p <0.05).
Analysis of the correlation between the volume of EAT and the age of patients showed that the correlation coefficient was r=0.02, i.e., there was no connection between these indicators. This indicates that the severity of the atherosclerotic process in the vessels largely depends on several other controllable and uncontrollable factors.
Neveen I. Samy and others did not reveal statistically significant correlations between the thickness of the EAT and such risk factors as smoking, dyslipidemia, hypertension, obesity; according to their data, the correlation of these risk factors with the thickness of pericoronary adipose tissue was statistically insignificant [12].
Analysis of the relationship between the volume of EAT and the severity of CA atherosclerosis (hemodynamically insignificant and significant areas of stenosis) showed the presence of a significant direct correlation of average strength (Fig. 4). Correlation analysis between the data on the EAT thickness with the CA severity index showed that the most significant relationship was found between the EAT thickness measured at the level of d/3 AIVB, that is EAT-3 at r=0396.
It is noteworthy that when assessing the correlation between the area of the EAT (at the level of the ventricles) and the severity of AS CA (HDIS, HDS areas of stenosis), it was found that the correlation coefficient was negative (r=-0.161), and in the ratio of the areas of pericoronary and paracardial AT, the correlation was positive and significant (r=0.238, r=0.197).
It is clearly demonstrated by MSCT tomograms with 3D reconstruction of the EFT, where its boundaries are traced on axial sections and 3D reconstruction of the CA.
A lot of research in the USA -Rosito and others [15], Mahabadi and others [14], Ding and others [8] and in Japan -Ito and others [11] -showed that the volume of EAT is an independent predictor of the severity of coronary atherosclerosis, correlates with the degree of coronary artery disease. At the same time, the methodology for determining the area and volume of EAT is different.
Our results are consistent with the data of Bastarrika [3] and Damini Dey [7], who proved that patients with significant coronary artery stenosis had a slightly higher volume of EAT (154.58±58.91 cm3) in comparison with patients with HDIS coronary stenosis (120.94±81.85 cm 3 , P=0.016).
In general, based on the analysis of similar foreign studies, it can be concluded that the threshold values of the EAT volume are equal to 125.14±56.88 cm 3 , with the development of IHD, the EAT volume is 148.7 cm 3 , and with significant coronary atherosclerosis -up to 299, 1 cm 3 [19]. According to the results of our study, with the development of ischemic heart disease, the volume of EFT was 169.6±56.2 cm 3 .
According to Chumakovaet al., in evaluating the measurement data of the EAT thickness was taken as the threshold value of 6 mm, the EAT thickness ?6 mm was a predictor of significant coronary atherosclerosis in patients with IHD [6]. It was also found that EAT thickness>7 mm in women is associated with subclinical coronary atherosclerosis [8]. According to our data, HDIS areas of stenosis were associated with an EAT thickness>7 mm. The high spatial resolution of the volumetric CT method makes it possible to study the direct effect of EAT on structural changes in the walls and atherosclerotic lesions of the coronary artery.
V.
Volumetric MSCT angiography of CA with the determination of EFT indicators allowed us to establish the presence of a correlation of varying degrees between the quantitative indicators of EAT (volume, thickness of EAT at the level of the interventricular septum, EAT area at the level of both ventricles) and the severity of coronary atherosclerosis.
The area of paracardial adipose tissue also correlates with the severity of coronary atherosclerosis, The information obtained allows us to consider the change in the volume of EAT as an independent marker of the risk of developing CVD and can be used as a marker of the screening method in personalized diagnosis of coronary artery disease.








This article was supported by the scientific grant PZ-202010285 "Development of technologies for the diagnosis and treatment of coronary artery disease in patients with overweight by creating new protocols for MSCT studies of atherosclerotic changes in coronary arteries and myocardial perfusion"
The authors declare the absence of obvious and potential conflicts of interest related to the publication of this article and report on the contribution of each author.
No funding was required for this research.
Association of pericardial fat, intrathoracic fat, and visceral abdominal fat with cardiovascular disease burden: the Framingham Heart Study. Eur Heart J 2009. 30 p. .
calcification in a community-based sample: the Framingham Heart Study. Circulation 2008. 117 p. .
Pericardial fat, visceral abdominal fat, cardiovascular disease risk factors, and vascular calcification in a communitybased sample: the Framingham Heart Study. Circulation 2008. 117 (5) p. .
Leite-Moreira, RuiVitorino and InêsFalcão-Pires Unraveling the Role of Epicardial Adipose Tissue in Coronary Artery Disease: Partners in Crime?. International Journal of Molecular Sciences 23 October. 2020.
Relation between Epicardial Adipose Tissue Thickness Assessed by Multidetector Computed Tomography and Significance of Coronary Artery Disease. World Journal of Cardiovascular Diseases 2020. 10 p. .
The association of pericardial fat with incident coronary heart disease: the Multi-Ethnic Study of. Atherosclerosis MESA.
Computed tomographic coronary angiography-derived plaque characteristics predict major adverse cardiovascular events: A systematic review and meta-Analysis. CircCardiovasc Imaging 2018. 11 p. e00697.
Relation of epicardial and pericoronary fat to coronary atherosclerosis and coronary artery calcium in patients undergoing coronary angiography. Am J Cardiol2013. 102 p. .
Correlation of epicardial fat quantification with severity of coronary artery disease: A study in Indian population. Indian Heart Journal 2018. 70 p. .
Epicardial adipose tissue: New parameter for cardiovascular risk assessment in high risk populations. J. Nephrol 2018. 31 p. .
Role of MDCT in evaluation of epicardial fat volume as an independent risk factor for coronary atherosclerosis. The Egyptian Journal of Radiology and Nuclear Medicine 2018. 49 p. .
The impact of epicardial fat volume on coronary plaque vulnerability: insight from optical coherence tomography analysis. Eur Heart J Cardiovasc Imaging 2012. 13 p. .