a maladie hydatique est une anthropo-zoonose qui sévit à l'état endémique en région méditerranéenne, le péritoine au même titre que d'autres organes comme le foie peut être une localisation rare et grave de cette affection. L'objectif de cet article est de présenter, à travers un cas clinique d'abdomen aigu, les éléments sémiologiques d'une hydatidose péritonéale dans sa forme compliquée de rupture.
Il s'agit d'un jeune patient âgé de 25 ans, sans antécédents particuliers, qui consulte au service des urgences pour l'installation brutale d'une douleur abdominale généralisée après effort physique. L'examen clinique trouve un patient conscient, apyrétique et légèrement tachycarde. La palpation de l'abdomen objective une contracture généralisée avec une sensibilité plus marquée au niveau de la fosse iliaque gauche.
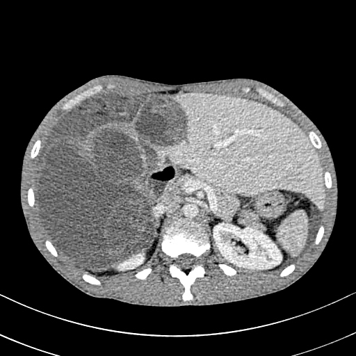
Une tomodensitométrie abdomino-pelvienne est réalisée sans et après injection de produit de contraste. Cette dernière, montre au niveau du foie droit Corresponding Author ?: Internat Hôpital Ibn Sina 40010 Rabat, Maroc. e-mail: [email protected] de multiples formations kystiques, à contenu liquidien pur ou cloisonné, bien circonscrites, confluentes, à paroi épaissie rehaussées en périphérie après injection de produit de contraste en rapport avec des kystes hydatiques hépatiques de taille et de type variable.
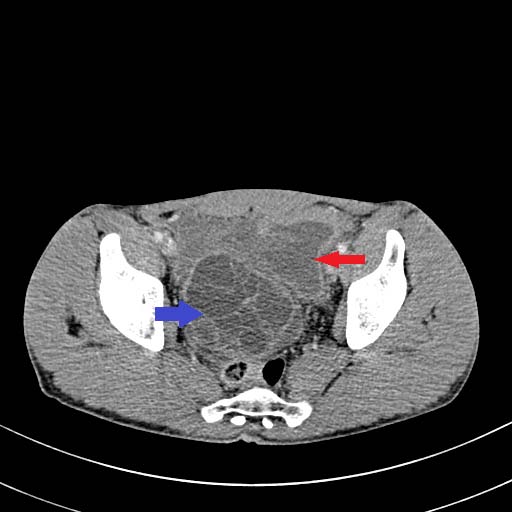
Il s'y associe également au niveau pelvien deux kystes hydatiques intra-péritonéaux, le premier est multi vésiculaire et le deuxième sus et latéro-vésicale gauche à paroi affaissée, discontinue associée à un épanchement péritonéal témoignant sa rupture dans la cavité péritonéale.
Le diagnostic de péritonite aigue généralisée par rupture d'un kyste hydatique intra-péritonéal associée à une hydatidose hépatique est retenu.
Le kyste hydatique est dû au développement de la forme larvaire du taenia du chien appelé Echinococcusgranulosus. C'est une zoonose cosmopolite, endémique dans les pays du Maghreb, l'Afrique de l'Est et l'Amérique du Sud .La contamination de l'homme se fait dans la majorité des cas après une ingestion d'aliments souillés par les fèces du chien infesté [1].
L'hydatidose péritonéale représente entre 5 et 16 % des hydatidoses [2]. Elle peut être primitive, par contamination hématogène. Elle est le plus souvent secondaire à une rupture kystique (kyste hydatique hépatique fréquemment associé) ou à une contamination per opératoire.
La symptomatologie clinique est variable et non spécifique, parfois de découverte fortuite du au développement lent du kyste hydatique après contamination.
Elle peut se manifester par une douleur abdominale chronique, nausées, vomissements et anorexie. Les formes compliquées des kystes demeurent dans la compression des organes de voisinage, une hémorragie intra-kystique, surinfection et rarement une rupture intra ou extra-péritonéale [3].
La rupture du kyste hydatique peut être spontanée par augmentation de la pression intrakystique ou post-traumatique. Elle met en jeu le pronostic vital du fait de l'état de choc anaphylactique qu'elle peut engendrer. Elle se manifeste par une douleur abdominale sévère, des vomissements, une
Summary-Peritoneal hydatidosis is a rare and poorly known hydatid disease. Acute cyst rupture into the peritoneal cavity is one of its complications. We report a clinical case of a 25-yearold patient admitted to the emergency department for acute abdominal pain, the final diagnosis was acute peritonitis caused by the rupture of hydatid cyst into the peritoneal cavity associated with hepatic hydatidosis. chute de la tension artérielle, une tachycardie voir des réactions allergiques [4].
Grace à l'imagerie médicale, le diagnostic de cette entité devient de plus en plus facile et rapide. L'échographie abdominale et la tomodensitométrie ont respectivement une sensibilité de 85% et 100% [5].
L'échographie abdominale est réalisée en première intention permettant ainsi de confirmer le diagnostic en précisant la localisation du kyste, le nombre et ses rapports anatomiques .Toute fois sa résolution spatiale est limitée comparativement à la tomodensitométrie qui permet une analyse plus précise de l'environnement du kyste [6].
Le traitement médical initial est basé sur les mesures de réanimation en cas de choc anaphylactique par l'administration des drogues vasoactives, remplissage et monitorage. Ensuite une toilette péritonéale abondante est réalisée par le sérum physiologique avec aspiration. La technique chirurgicale de choix dans le contexte d'urgence est la résection du dôme saillant qui est une méthode facile et adaptée aux pays d'endémie [7].
IV.
La rupture aigue d'un kyste hydatique dans la cavité péritonéale est un phénomène rare mettant en jeu le pronostic vital. Elle doit être toujours suspectée dans les pays d'hyper endémie hydatique. L'échographie et la tomodensitométrie permettent un diagnostic précoce de cette complication.
Les auteurs déclarent ne pas avoir de conflit d'intérêt en relation avec cet article.




Management of peritoneal hydatid cysts: A forty-year experience. 10.1016/j.heliyon.2018.e00994. Heliyon 2018. 4 p. e00994.
Open surgery for hepatic hydatid disease. 10.9738/INTSURG-D-14-00069.1. Int Surg 2014. 99 p. 764.
This is what we call peritoneal hydatidosis. 10.1016/j.ijid.2020.05.028. https://doi.org/10.1016/j.ijid.2020.05.028 Int J Infect Dis 2020.
João Kocha Rui Almeidab-dJosé Carlos Camposa José Guilherme Tralhãoa, c, e. Ruptured Hemorrhagic Hepatic Cyst: An Unusual Case ReportGE Port. DOI: 10.1159/ 000502359. J Gastroenterol 2020. 27 p. .
Abdelkbir Rhalem3, Tanguy Marcotty7, Marleen Boelaert1 and Pierre Dorny8,2 Community perception and knowledge of cystic echinococcosis in the High Atlas Mountains. 10.1186/s12889-018-6372-y. https://doi.org/10.1186/s12889-018-6372-y BMC Public Health Séverine Thys1,2* , Hamid Sahibi3 , Sarah Gabriël4, Tarik Rahali5 , Pierre Lefèvre6 (ed.) 2019. 19.
Intraperitoneal rupture of the hydatid cyst: Four case reports and literature review. 10.4254/wjh.v11.i3.318. https://dx.doi.org/10.4254/wjh.v11.i3.318 World J Hepatol 2019. 11 (3) p. .