linicians often face difficulty in placing implants in the posterior maxilla due to the commonly observed resorption after tooth loss, atrophy, or sinus pneumatization in the region, resulting in insufficient bone height. [1] A variety of solutions have been defined to overcome this quandary namely short implants, tilted implants, or maxillary sinus augmentation procedures. [2,3] Sinus floor elevation procedures are one of the popular, well-accepted, widely performed, and highly predictable procedure. Boyne and James [4] performed a two-stage implant placement procedure using the lateral approach for sinus lift in 1980. Tatum (1986) [5] entered the sinus via the edentulous alveolar bone and conducted vertical tapping through the alveolar ridge to elevate the sinus floor. Later in 1994, Summers [6]gave modification of this technique in the form of explicit osteotomes of diverseradii that could elevate the sinus floor, while simultaneously increasing the thickness of the bone.
In this case series, we have presented two cases that were performed using the CAS kit and LAS kit. The crestal approach sinus (CAS) kit (Osstem Implant Co., Busan, Korea)is an innovation that utilizes the crestal approach for elevating the sinus. It uses a unique drilling system in conjugation with hydraulic pressure. On the other hand, the lateral approach sinus (LAS) kit (Osstem Implant Co., Busan, Korea) allows a less invasive and less risky lateral window approach sinus augmentation using specific core and dome drills that helps in the formation of the bony window, while simultaneously elevating the Schneiderian membrane.
All surgical operations were carried out under the influence of local anesthesia. First, a sub-crestal incision was made, that extended more than the edentulous site, in the mesio-distal direction. Then, using molt #9 periosteal elevators, a full-thickness mucoperiosteal flap was raised (HuFriedy, Chicago, USA). One-stage implant placement was performed for both the cases (with the LAS kit and the CAS kit). Both the procedures involved the application of xenograft (Cerabone, Biotiss, Germany) for bone augmentation and B&B implants (San Benedetto, BO, Italy) for the replacement of the teeth.
Case report 1 A female aged 29 presented with the complaint of missing teeth in her upper right back tooth region for 3-4 years and desired the replacement of the same. Her CBCT revealed an enlargement of the maxillary sinus with a bone height of 2.55 mm at the desired site (Figure 1). Therefore, a sinus lift procedure using the lateral approach was indicated before implant placement and we accomplished it with the help of the LAS kit.
After the surgical preparation mentioned above, a one-stage implant placement technique was carried out. The flap was extended up to the inferior border of the zygoma, to allow the visibility of the lateral wall of the maxillary sinus. The lateral window was created using the dome drill of 5.0 mm diameter with a stopper system (0.5mm increments) for effective depth control. When the maximum desired depth was achieved with the 0.5 mm drill stopper, it was changed to a 1.0 mm stopper, and drilling was proceeded chronologically while scrutinizing for any perforation. The drilling of the osseous wall continued with increasing depths and stoppers till full penetration of the lateral wall was achieved and the bony window was removed in-toto (Figure 2). Sinus curettes were then used to gently lift the sinus membrane by moving it between the membrane and bony wall anteriorly, posteriorly, and medially. Once the membrane was free of all the attachments, we encountered the movement of the membrane that was concomitant with the breathing.
The osteotomy was then prepared into the ridge and an implant of the desired length was placed and the cover screw was tightened (Figure 3). After that, the apical portion of the implant was packed with a xenograft (Cerabone, Biotiss, Germany). The bony window, that was cut out, was placed back in the position and was covered with a PRFmembrane. Primary closure of the soft tissue was obtained. The flap was repositioned with a non-absorbable braided suture, first with horizontal mattress sutures, and, then with interrupted sutures to seal the crest (Figure 4). Postoperative instructions were provided to the patient (Table 1).
The patient was recalled after 10 days and then 3 months later. The soft tissue confirmed no inflammation and satisfactory wound healing. The radiographic analysis verified the densification of the xenograft and the osseointegration of the implant (Figure 5).
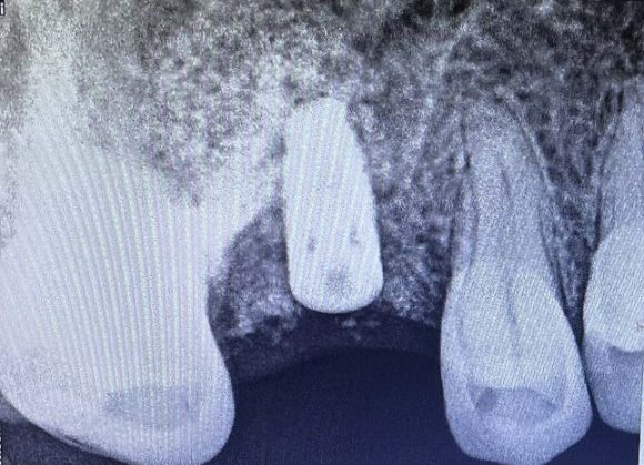
A 44-year male patient desired the replacement of a grossly decayed tooth in his upper right back teeth region. The CBCT revealed a reduced bone height of 8 mm (Figure 6). Minimal atraumatic extraction of the maxillary right first molarroot piece was performed before proceeding with the implant surgery. Then, the osteotomy was started with a 2.0 mm diameter twist drill from the CAS kit. It was used along with the stopper. It was then followed by the drills with increasing diameter upto 1 mm short of the sinus floor with a drilling speed of 800 rpm. Then, the 3.6 mm bur was used for the extension of the osteotomy, perforating the sinus floor. The integrity of the membrane was analyzed with the depth gauze while slightly lifting the membrane. Then, the hydraulic hoist was implanted and steadied into the drilled hole and the saline solution was injected. 3 mm sinus floor elevation is expected by using 0.30 mL solution. [7]It was then drowned out and injected again until the anticipated advancement was achieved. The xenograft was condensed with the help of the carrier and condenser. It was then followed by implant placement using the self-tapping method and the cover screw was placed (Figure 7), followed by adequate soft tissue closure. The patient was instructed with proper oral hygiene instructions and was recalled after 10 days for suture removal. A healing abutment was used to replace the cover screw after four months. And by the end of the 4 th month, the final prosthesis was delivered (Figure 8). The patient is being followed up for 1 and a half years now and has shown satisfactory results.
Successful implant surgery is attained only if the implants are placed in a sufficient and decent quality of bone for its proper osseointegration. Because of low bone quantity and quality, as well as its closeness to the sinus floor, the maxillary arch has traditionally been one of the most challenging places to properly insert dental implants. Thus, Sinus lift surgery, also known as sinus augmentation, helps to correct these problems by elevating the sinus floor, forming space for an appropriate bone graft material to help in the formation of new bone for successful treatment. Several approaches are being used to reach this goal.
When there is less than 5 mm bone height available, the lateral window sinus lift procedure is recommended. [8] The Schneiderian membrane may be seen directly through the lateral window. [8] Nevertheless, it is more intrusive, results in postoperative pain, and difficulties, and has a higher infection risk. [9,10] This procedure might cause rupture of the sinus sheath, further allowing microbial adulteration into the sinus.
In another scenario, when the remaining maxillary bone height is greater than 5 millimetres, a transalveolar sinus elevation technique is frequently needed. [8] Since Summers [6] proposed the osteotome technique in 1994, it has been applied widely with the advantage of being an effortless procedure, with a briefer therapeutic period than the conventional lateral hole-in-the-wall technique. However, if it is performed improperly, it might cause compression necrosis or breakage of the cortical wall. [8][9][10][11] Various studies have been carried out which revealed that the rate of perforation using the osteotome technique was 3.8%, and the subsistence rate of the implants was reportedly 92.8%. [12] Thus, the risk of perforation or formation of an excessive bony cavity at the implant placement area led to the jeopardy of the implant stability in the preliminary stage along with numerous hitches post-operatively. The crestal approach, however, offers many advantages over the lateral approach. It is less aggressive and a relatively simpler procedure, facilitating early wound healing than the lateral approach. As it is a "blind" procedure, it is heavily dependent on the skills of the clinician and might cause Schneiderian membrane rupture while malleating. [11][12][13][14] Additionally, this procedure leads to complications such as pain in the head and light-headedness after the procedure. [1,2,15,16] Sequentially, two new devices were developed for both the lateral (LAS kit) and crestal (CAS kit) approach sinus lift and gained immense success over time. According to our knowledge, literature has never discussed both of these techniques together and therefore, we attempted to club our cases, experiences, and literature together to achieve the same.
'Dome' and 'Core' drills, metallic stoppers, and a bone separator tool are included in the lateral approach sinus kit (LAS Kit) (Osstem Implant Co., Busan, Korea). The Dome drill is a one-of-a-kind osseous drill that removes the maxillary sinus's lateral wall while collecting autogenous bone to be put into the sinus (Figure 9). Macro-and micro-cutting blades cut the lateral wall cleanly without rupturing the sinus membrane. These Dome drills are of 5.0-and 7.0-mm diameters and are used with an operating handpiece at 1,200 to 1,500 RPM along with ample irrigation. The metal stoppers (0.5, 1.0, 1.5, 2.0, 2.5, and 3.0 mm), to control the penetration depth, are used sequentially for the safe elevation of the sinus membrane while having restricted penetration depth. The Dome drill can be used to expand the osseous window generated by the side wall drill if required. The flat tip of the drill is planned for innocuous advancement of the sinus membrane. Osseous cutting is done with the side of the spinning drill at 1,500 RPM, in presence of copious irrigation, to increase the size of the window. It can be used with metal drill stoppers to avoid inadvertent penetration into the sinus membrane.
The Core drill, like the Dome drill, is available in 5.0-and 7.0-mm diameters. Its center does not cut with bone removal, leaving a bone core over the sinus. This bony lid can be lifted and employed as the new 'roof' of the sinus, with osseous augmentation put beneath it, while the sinus membrane remains attached. Metal drill stoppers allow for regulated depth preparation in a sequential manner. If removal of the osseous core created by the Core drill is desired, the bone separator tool is used to separate it using the practitioner's preferred technique.
When less bone height is present, a lateral window approach was preferred to increase crestal bone height and volume for successful implant placement. [8] The lateral sinus augmentation approach can be challenging as rupturing of the sinus membrane often necessitates abandoning the procedure and reentering at a later date after the completion of the healing. The older techniques involved the use of diamonds or carbides in a high speed handpiece or the use of Piezosurgical units. However, these approaches had the potential for membrane damage (burs at a high speed) or were very slow (Piezo). The LAS kit, from Osstem, employs particularly designed drills that curtail the membrane damage, thereby, refining the safety of the technique. The advantages of LAS-KIT include its convenience, potential to eliminate the number of steps involved in the surgery, highly versatile drill designallowing it to be used on sinus floors that are flat, inclined, or over a septum, reduction in overall chair time, complications, and patient discomfort, and the adaptable LAS-drills, which can acclimatize with quite a few diverse bone solidities.
The CAS kit includes two types of drills, one of which is the twist drill. It can be coupled with a stopper for the initial drilling. Stoppers ranging in length from 2.0 mm to 12.0 mm are included. (Figure 10). The maximum depth of the twist drill is 2.0 mm from the sinus floor with a speed of 1,000 to 1,500 rpm. The CAS drill is the other sort of special drill. Because the CAS drill tip is conical, the bone is drilled with a conical hole. The dentist can safely raise the sinus membrane using the CAS drill. Furthermore, because the CAS drill rounds the lateral side, it may be utilized safely on numerous types of maxillary sinuses. The CAS drill also can gather autogenous bone, and its optimum speed range is 400-800 RPM. The depth gauge may be used to examine membrane elevation and quantify residual bone height. It's also necessary to attach it to a stopper. A 1.0-mL syringe filled with saline solution is fitted to the hydraulic lifter.
The bone carrier, condenser, and spreader are employed for jawbone transplantation. The bone carrier is available in 3.5 mm and 3.9 mm sizes. It's made up of little pieces of bone. The condenser is used to plug the osteotomy with the xenograft, while the bone spreader is used to spread the bone graft material laterally to achieve desired sinus raise, at a low speed of 30 rpm.
The CAS kit was originally designed to uplift the maxillary sinus sheath safely using the hydraulic pressure. However, only 75 % of dentists have reported the routine use of the hydraulic lifter for the elevation. [7] Kolhatkar et al. [12] and Teutsch et al. [17] testified 97% success rate for the crestal approach. It is in our opinion that the expected advancement can be safely achieved through the crestal approach with a reduced bone height. But the literature [7] suggests that the hydraulic lifter in the CAS kit was not a very user-friendly component. The respondents to the survey desired further developments or modifications of sinus lift devices to make them safer and more user-friendly. The cause of the advancement was thought to be due to the pressure of the saline injected through the hydraulic lifter. [18] We also have mentioned the use of PRF membrane, rather than using any other resorbable membrane because it helps in healing the wound, protecting the surgical sites, assisting soft tissue repair, and with bone graft, acts as a "biological connector." Also, the suturing technique used resisted any kind of soft tissue tension that might have resulted due to inflammation and puffiness following surgery. Supplementary simple interrupted sutures were also positioned for proper closure of the site.
IV.
Pneumatization of the maxillary sinus because of the lost maxillary posterior tooth prevents implant placement in the respective region. Thus, sinus floor advancement and increase in the density of the bone provides a predictable treatment for the regeneration of the lost osseous structure in the posterior maxilla. Most of the clinicians are generally satisfied with the use of these kits in their daily practice as it holds a number of advantages. However, both have limitations that require developments and modifications to make them safer and more user-friendly. The patient should be informed that on the first night after surgery, the head should be elevated with the help of pillows. The patient should be advised to take a liquid diet for 2 days and then, a soft diet for 2 weeks. The patient should be updated about some nasal bleeding that might occur during the first day after the procedure. Medications to be prescribed to the patient - playing musical instruments that require blowing. Actions that produce negative pressure must be avoided throughout the first week after surgery. They should be directed to sneeze with the mouth open so that the pressure is not exerted within the sinus. The patient should be made aware that some bruising, and facial swelling might be expected underneath the eye. For its resolution, the patient should apply cold packs over the surgical site extraorally for an on and off way (of 10 minutes each).









The authors would like to acknowledge Dr. Vishakha Patil, and Dr. Amod Patankar for their support throughout.
The authors declare no potential conflicts of interest with respect to research, authorship and/or publication of this article.
Radiographic evaluation of dental implants placed us-ing an osteotome technique. J Periodontol 2005. 76 p. .
Sinus floor elevation using osteotomes: a systematic review and metaanalysis. J Periodontol 2005. 76 p. .
The sinus lift graft: Basic technique and variations. Pract Periodontics Aesthet Dent 1997. 9 p. .
The prevalence of surgical complications of the sinus graft procedure and their impact on implant survival. J Periodontol 2004. 75 p. .
Periim-plant alveolar bone loss with respect to bone quality after use of the osteotome technique: results of a retrospective study. Clin Oral Implants Res 2002. 13 p. .
Jr Maxillary and sinus implant reconstructions. Dent Clin North Am 1986. 30 p. .
Long-term results after lateral and osteotome technique sinus floor elevation: a retrospective analysis of 2190 implants over a time period of 15 years. Clin Oral Implants Res 2010. 21 p. .
Immediate implant placement following a modified trephine: osteotome approachsuccess rates of 116 implants to 4 years in function. Int J Oral Maxillofac Implants 2002. 17 p. .
Sinus floor augmentation at the time of maxillary molar extraction: success and failure rates of 137 implants in function for up to 3 years. J Periodontol 2002. 73 p. .
Grafting of the maxillary sinus floor with autogenous marrow and bone. 6993637. J Oral Surg 1980 Aug. 38 (8) p. .
A new concept in maxillary implant surgery: the osteotome technique. Compendium 1994. 15 p. .
Maxillary sinus augmentation. J Indian Soc Periodontol 2018. 22 p. .
Inadequate vertical bone dimension managed by bone-added osteotome sinus floor elevation (BAOSFE): a literature review and case report. J Contemp Dent Pract 2009. 10 p. .
Direct v/s Indirect sinus lift in maxillary dental implants. Ann Maxillofac Surg 2013. 3 p. .
Maxillary sinus elevation by lateral window approach: Evolution of technology and technique. J Evid Based Dent Pract 2012. 12 p. .
Assessment of dentists' subjective satisfaction with a newly developed device for maxillary sinus membrane elevation by the crestal approach. 10.5051/jpis.2013.43.6.308. J Periodontal Implant Sci 2013 Dec. 43 (6) p. .