e need to evaluate the dental-jaw system in three different directions, i.e. sagittal, transverse and vertical [1]. With the help of research in these directions, we study the relationship between the teeth, head and face, and make it possible for us to find out exactly what part of the changes caused the anomaliesand to plan their treatment in time. It is known to all of us that orthodontic normative data can be determined mainly from these directions using a cephalogram in sagittal projection [2]. We do not want to dwell on the disadvantages of lateral cephalograms, we only want to clarify that they are not enough to evaluate the problems of the face and jaw in the transverse direction, and to evaluate these problems in the transverse direction, the cephalogram in the frontal: front-back projection and its indicators are necessary. Orthodontists and maxillofacial surgeons around the world use these frontal cephalometric analyzes in the diagnosis and treatment of transverse anomalies [3].
The study that we want to cover in this article is a frontal (front-back projection) cephalogram [4], which shows the main indicators in the detection of anomalies in the transverse direction. Problems in the transverse direction of the maxillofacial area can also cause serious problems for orthodontists, and it is these problems that are most likely to cause relapse [5]. Vertical anomalies are easy to detect in lateral cephalometry [6], but vertical asymmetry on both the right and left sides of the face can be fully analyzed only in frontal projection cephalometry [7]. In the literature on orthodontic diagnosis, there is very little information on the schematic measurement of the dimensions of the face in the transverse direction, that is, the data of the face jaw area at the developing period in the sagittal and vertical directions have not been sufficiently studied [8,9]. In this study, we will clearly explain the uniqueness of the growth of the face in the vertical direction in people with long faces (dolichocephals) -mainly the development of the lower part of the face, and the increase in the angle of the lower jaw [10]. In determining the vertical dimensions of the face, the transverse growth indicators of the upper and lower jaws are primary important [11]. Therefore, this study will be of great help in determining frontal cephalogram parameters for assessing the symmetry of facial bones and teeth.
To determine the "maxilla-mandibular relationship" indicators of the frontal cephalogram of "Grummons" in the frontal cephalogram of representatives of the normal physiological bite of the Uzbek population, and to compare them with the indicators of "Grummons".
The study was conducted on a total of 95 (55 men and 40 women) representatives of the Uzbek population with physiologically normal bite. In their frontal cephalogram, indicators of maxilla-mandibular relationship according to Grummon were determined.
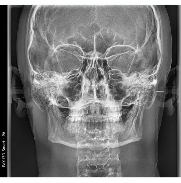
We described the comparison of the upper and lower jaws in such a perfect way that it is impossible not to use these indicators during this research. To determine the relationship of the upper and lower jaws to each other, a line is drawn from the Cg point to the J and Ag points on the right and left sides [9], the names of these points and lines are given in tables 1 and 2, and pictures 1 and 2. The right J and left J points are also connected, resulting in the formation of J-Cg-J triangle. Similarly, a horizontal line is drawn from the right Ag to the left Ag point and the triangle Ag-Cg-Ag is formed. These triangles are divided into two using MSR and four triangles: right J-Cg-MSR and left J-Cg-MSR; Ag-Cg-MSR and Ag-Cg-MSR are produced (Figure1). In this article, the authors compared the length of the sides of the triangles and evaluated their symmetry [6,9,10]. The indicators of the upper and lower jaw symmetry of representatives of the Uzbek population were determined, compared the indicators of men and women Grummons indicators (table 3). We compared the indicators of "comparison of the upper and lower jaws"of the representatives of the Uzbek population with normal physiologicalbite with the results of the average indicators of men and women. The J-MSR index for Uzbeks is 31.72±0.18 mm on the right and 31.69±0.17 mm on the left; in men, right 32.07±0.21mm. and left 31.96±0.21mm; right 31.25±0.25mm in women and left 31.33±0.27mm. equal to, and no significant difference was found when they were compared with each other or compared with the average values (P>0.05). Ag-MSR index in men is 42.6±0.25mm right and 42.49±0.29mm left; Ag-MSR index of women is 39.98±0.37mm right and 41.0±0.35mm left. is equal to It was found that the average of the Ag-MSR indicator of Uzbeks is equal to 41.49±0.25 mm on the right and 41.86±0.24 mm on the left. Now, when we compared Ag-MSR values of women and men with respect to mean Ag-MSR values, only female Ag-MSR R values were significantly different (P<0.05). When the Ag-MSR indicators of men and women were compared, it was found that there was a reliable difference between the Ag-MSR R indicator of men and the Ag-MSR R indicator of women (P<0.05). The average of the Cg-J indicator of Uzbeks is 68.82±0.47 mm on the right and 68.63±0.46 mm on the left. Cg-J index in men is 71.09±0.58mm right and 70.87±0.55mm left; in women, the right is 65.7±0.45mm and the left is 65.55±0.49mm. When comparing the Cg-J index of women and men, there are reliable differences in the Cg-J index of men compared to the Cg-J index of women (P<0.05). Now, when comparing the Cg-J index of women and men to the average of Uzbeks, a reliable difference was found only in men's Cg-J index compared to the average Cg-J index (P<0.05).
The average Cg-Ag indicator of Uzbeks is 114.33±0.68mm on the right and 114.22±0.68mm on the left; Cg-Ag indicator of women is right 109.28±0.81mm and left 109.15±0.81mm.; in men it was found that the right is 118.02±0.66 mm and the left is 117.91±0.67 mm. When comparing the Cg-Ag index of women and men to the average Cg-Ag indicator of Uzbeks, a reliable difference was found only in the Cg-Ag indicator of men compared to the average Cg-Ag indicator (P<0.05). When the Cg-Ag indicators of women and men were compared, a reliable difference was found in the Cg-Ag indicator of men compared to the Cg-Ag indicator of women (P<0.05).
In order to evaluate the relation of the upper and lower jaws of the representatives of the Uzbek population, we need the "relationship of the upper and lower jaws" indicators proposed by the author -Grummons. For this, we studied several articles of the author and used the most favorable indicators [5,6]. In table 4, we compare the upper and lower jaw relationship indicators of male and female representatives of the Uzbek population with the upper and lower jaw relationship indicators of women and men determined by the author.


| No. | Cephalometric Points (Landmarks) | Latin Naming of Points | Description of the Points of the Frontal Cephalogram |
| 1 | Ag | Antegonial Notch | The groove of the corner of the lower jaw |
| 2 | ANS | Anterior Nasal Spine | Anterior point of the base of the nose |
| 3 | Cg | Crista Galli | The peak of the forehead growth of the nose is the crown of the rooster |
| 4 | J | Jugal process | Cheek growth of the upper jaw |
| 5 | Me | Menton | Chin center |
Figure 1: Points (Landmarks) used in Maxilla-Mandibular Relationship Indicators of the Frontal Cephalogram
| No. | Latin designation of surfaces | Names of surfaces generating frontal cephalogram indicators (in Latin script) | Names of surfaces generating frontal cephalogram indicators ( Linear measurements on postero-anterior (PA) cephalogram) |
| 1 | MSR | ( Mid-sagittal reference plane ) | Mid sagittal line |
| 2 | J-J | Jugal Process -Jugal Process | The line connecting the middle points of the right and left upper jaw |
| Volume XXIII Issue V Version I | |||||||
| D D D D ) K | |||||||
| ( | |||||||
| Medical Research | |||||||
| Global Journal of | Average | ||||||
| Line Name Variables | Sides | Women (N=40) (M±m) | SD | Men (N=55) (M±m) | SD | (Men and Women) | SD |
| (N=95) (M±m) | |||||||
| Oh | 31 .25±0.25 | 1.77 | 32.07±0.21 | 1.59 | 31.72 ± 0.18 | 1.73 | |
| J-MSR | |||||||
| Ch | 31.33±0.27 | 1.68 | 31.96±0.21 | 1.58 | 31.69 ± 0.17 | 1.66 | |
| Ag-MSR | Oh | 39.98±0.37 * | 2.33 | 42.6±0.25^ | 1.85 | 41.49 ± 0.25 | 2.51 |
Figure 2: Comparison of upper and lower Jaws (Maxillo -Mandibular Comparison)
| Surfaces Variables | Sex | Party(side) | N | Uzbeks | SD | N | Grummons | SD | P |
| J-MSR | A E | Right Left Right Left | 40 55 | 31.25±0.25 31.33±0.27 32.07±0.21 31.96±0.21 | 1.77 1.68 1.59 1.58 | 15 15 | 39.1±0.28 39.2±0.21 37.37±0.42 35.5±0.39 | 1.84 1.78 2.35 1.66 | >0.05 >0.05 >0.05 >0.05 |
| Ag-MSR | A E | Right Left Right Left | 40 55 | 39.98±0.37 41.0±0.35 42.6±0.25 42.49±0.29 | 2.33 2.24 1.85 2.14 | 15 15 | 37.1±0.44 38.8±0.24 44.5±0.31 43.5±0.29 | 1.52 2.81 2.37 2.08 | >0.05 <0.05 >0.05 >0.05 |
| Cg-J | A | Right Left | 40 | 65.7±0.45 65.55±0.49 | 2.82 3.08 | 15 | 60.2±0.52 59.4±0.47 | 3.11 2.73 | <0.05 <0.05 |
The J-MSR index of representatives of the Uzbek population in women,right 31.25±0.25mm and left 31.33±0.27mm; in men, the right 32.07±0.21 and left 31.96±0.21mm. The same J-MSR indicator in women according to the author is 39.1±0.28mm. and left 39.2±0.21 mm.; in men, right 37.37±0.42 mm. and left 35.5±0.39 mm. mentioned in the articles of its establishment. Now when we compared these J-MSR scores, no reliable differences were found (P>0.05).
Ag-MSR index in female representatives of the Uzbek population is 39.98±0.37 mm. and left 41.0±0.35mm.; in male representatives, the right is 42.6±0.25 and the left is 42.49±0.29mm. According to the author -Grummons, Ag-MSR indicator is right 37.1±0.44mm and left 38.8±0.24mm in women; right 44.5±0.31mm in men. and the left is equal to 43.5±0.29mm. We can see from table 4 that there is no reliable difference between the Ag-MSR indicators of the author and the Ag-MSR indicators of representatives of the Uzbek population (P>0.05).
Cg-J index in female representatives of the Uzbek population is right 65.7±0.45mm and left 65.55±0.49mm; and in male representatives, the right is 71.09±0.58mm. and the left side is 70.87±0.55mm. was found to be equal to Cg-J indicator Grummons during his research in women right 60.2±0.52mm. and the left 59.4±0.47mm.; in men, the right is 60.8±0.55mm and the left is equal to 62.2±0.51mm. When we compared the Cg-J indicators of female representatives of the Uzbek population with the Cg-J indicators determined by the author in women, a reliable difference was found compared to the Cg-J indicators of the Uzbek population representatives (P<0.05). When we compared the Cg-J indicators of male representatives of the Uzbek population with the Cg-J indicators determined by the author in men, a highly reliable difference was found compared to the Cg-J indicators of the Uzbek population representatives (P<0.01).
Cg-Ag index in Uzbek women is 109.28±0.8mm on the right and left sides. and 109.15±0.81mm. According to According to the author, the Cg-Ag indicator is 101.5±0.74mm right in women and 99.4±0.9mm left in men; right 108.5±0.71mm in men. and left 108.8±0.68mm. is equal to in his article. Now, when we compare the Cg-Ag indicators of the author with the Cg-Ag indicators of Uzbeks, reliable differences were found between the Cg-AgR indicator of Uzbek women and the author's Cg-AgR indicator in women (P<0.05). When comparing Cg-AgL indicator of Uzbek women, Cg-AgR and Cg-AgL indicators of Uzbek men, Cg-AgL indicator of the author's same in women, in the Cg-AgR and Cg-AgL indicators of the author, we can see that high-level reliable differences were detected (P<0, 01).
Dimensional differences in the craniofacial morphologies of groups with deep and shallow mandibular antegonial notching. Angle Orthod 1996. 66 p. .
Digital lateral cephalometric assessment of maxillary sinus dimensions in different skeletal classes. J Univ Baghdad 2012. 24 p. .
Pneumatization of the paranasal sinuses: Normal features of importance to the accurate interpretation of CT scans and MR images. AJR Am J Roentgenol 1993. 160 p. .
Frontal sinus index -A new tool for sex determination. J Forensic Radiol Imaging 2014. 2 p. .
The study of the maxillary sinus areas in different orthodontic malocclusions. Am J Orthod Dentofacial Orthop 1992. 102 p. .
Frontal sinus parameters in computed tomography and sex determination. Leg Med (Tokyo) 2016. 19 p. .
Are frontal sinuses useful indicators of sex?. J Forensic Leg Med 2013. 20 p. .
The frontal sinus and mandibular growth prediction. Am J Orthod Dentofac Orthop 1991. 100 p. .
Cephalometric evaluation of maxillary sinus sizes in different malocclusion classes. Odontology 2010. 98 p. .
Enlargement of the frontal sinus. Ann Hum Biol 1984. 11 p. .