he various orthodontic anomalies can be described by means of a semiology that makes it possible to precisely define the variations from normal of the different signs. The various cases are described according to a plan that successively addresses signs affecting the teeth: dental anomalies, localized malocclusions, alveolar signs, without skeletal repercussions, signs of sagittal malocclusions (Angle's classification), signs of transverse malocclusions (skeletal or alveolar), signs of skeletal anomalies in the vertical direction, their consequences on the face, dento-maxillary disharmony. Of course, these different categories can be found in the same patient, associating dental anomalies, alveolar anomalies and skeletal anomalies [1]. Numerous types of dental anomalies can be observed in the anterior sectors, and can constitute real aesthetic prejudices for our patients. The descriptive classification is the simplest, and allows us to schematically distinguish various types of anomalies, such as those of shape, structure, number, size, eruption or color. In terms of management, the The polymorphism of these anomalies, their degree of severity, the time of consultation and the patient's age multiply the therapeutic possibilities [2]. Several studies have been carried out on these anomalies in various countries. Vishnoi et al in 2017 in the city of Udaipur, India reported 28.7% definitive need for orthodontic treatment in schoolchildren aged 7 to 16 [3]. Yassir et al in 2016, in a study of a Lebanese population, found that 31.3% of the sample had a strong need for orthodontic treatment [4].
The aims of this study were to determine the prevalence of orthodontic anomalies of the maxillary incisivo-canine block; to identify the orthodontic anomalies of the maxillary incisivo-canine block encountered, and to describe the type of appliance used to manage these anomalies.
The maxillofacial surgery and odontostomatology department of the Donka national hospital in Conakry was used as the setting for this study. It was a prospective descriptive study, lasting one year from August 1er2020 to August 31 2021. The study covered all patients in whom one or more orthodontic anomalies of the incisivocanine block were detected and managed during the study period.
Patients seen for one or more orthodontic anomalies of the maxillary incisivocanine block during the study period were included. Patients seen for any other dental pathologies were not included in this study.
The selection criteria were applied to 117 subjects, and patients were sampled exhaustively. The sample size obtained was as follows: n = 20 Data were collected manually, using an established survey form. Data entry and analysis were carried out with the help of Word and Excel software from the 2013 office pack. The results were presented in the form of tables and figures, commented and discussed according to recent data in the literature.
Informed consent was obtained from each patient or patient's relatives prior to data collection. Data were collected anonymously. The following evaluation parameters were adopted:
-An exaggerated vestibular orientation of the anterior alveolar processes and the upper or lower incisors is referred to as proalveolism.
-Dento-maxillary disharmony corresponds to a disproportion between the mesio-distal dimensions of the permanent teeth and the perimeter of the corresponding alveolar arches: the continuity of the dental arches at proximal level is no longer ensured. The most obvious sign is crowding or spacing of the dental arches (interdental diastemas).
III.
Table I IV.
The study revealed a prevalence of orthodontic anomalies of the maxillary incisivocanine block of 17.08%. This result is comparable to that of Uslu et al in Turkey in 2009, who reported a 16.1% frequency of orthodontic anomalies of the maxillary incisivocanine block [5]. According to Liausas et al, adolescent age is a predictive factor for orthodontic anomalies [6]. In this series, the average age of patients was 17.60 years, with extremes of 9-26 years. These results differ from those of Liausas et al in Lithuania in 2019 and Baron et al in France in 2018, who found mean ages of 12 and 15.23 respectively [6,7]. The young age of the patients would be due to the fact that this period corresponds to that of adolescence when, very often, an awareness of selfappearance is significant.
In the present study, the gender distribution of patients was characterized by equitability of both sexes. This result differs from those of Blige et al in Turkey in 2017, who obtained a gender distribution of 44.8% boys and 55.2% girls [8].
The majority of patients with orthodontic anomalies in the study were schoolchildren at 65%. These results corroborate those of Liausas et al in Lithuania in 2019 who reported that, 42.60% were schoolchildren [6]. This could explain the young average age obtained in the series.
Ectopic maxillary canines were the most common dental position anomalies, accounting for 25%. These results are similar to those of Nasreen et al in Pakistan in 2021, who found 30.6% of subjects with ectopic maxillary canines [9].
Patients with interdental diastemas in the present series were the most represented at 75%. This result is contrary to that of Farid et al in a study carried out in 2012 in Morocco, who found a frequency of dental crowding/overlap of 50% [10]. This predominance of interdental diastemas could be explained by the diversity of risk factors linked to the appearance of interdental diastemas. In the study, the distribution of patients according to overhang showed that maxillary overhang predominated, with a value of 45%. These results were superior to those obtained by Ouédraogo et al, who obtained 22.8% of exaggerated maxillary overhang [11]. This predominance may be explained by the high frequency of maxillary interdental diastemas in the study.
During the study period, incisaloverlap(?3mm) was the most represented (incisaloverlap?3mm (55%)). This result is superior to that of Faridetal, who reported 23.6% of 4mm incisal overlap [10]. These results may be linked to the predominance of exaggerated maxillary overhang in this series. Maxillary proalveolism was the most frequently diagnosed condition, at 8.54%, followed by maxillary interdental diastema at 5.98%. This could be linked to heredity or to various deforming habits, notably digital suctioning, which most often act on the maxilla, depending on the technique used.
Orthodontic treatment of patients mainly involved the use of fixed appliances (Brackets or multiattachment) followed by Hawley plates, preceded by tooth extractions, particularly in cases where temporary teeth remained.
V.
At the end of the study, a low prevalence of orthodontic anomalies of the maxillary incisivocanine block was observed. The most common subjects were schoolchildren, with both sexes equally represented. Proalveolism and maxillary interdental diastemas were the predominant manifestations of orthodontic anomalies of the incisivocanine block in the majority of subjects. Early diagnosis and appropriate therapeutic management of orthodontic anomalies of the maxillary incisivo-canine block provide better results, and their treatment is often multidisciplinary.

| Type of fault | Workforce | % |
| Maxillary proalveolysis | 10 | 8,54 |
| Interdental diastema | 7 | 5,98 |
| Dental crowding | 3 | 2,56 |
| Other dental pathologies | 97 | 82,92 |
| Total | 117 | 100 |
| Age range | Workforce | % |
| 9 -14 | 10 | 50 |
| 15 -20 | 6 | 30 |
| 21 -26 | 4 | 20 |
| Total | 20 | 100,00 |
*Average age: 17. 60 Extremes: 9 years and 26 years
| Year | |||
| 30 | |||
| Volume XXIII Issue III Version I | |||
| D D D D ) | |||
| ( | |||
| Medical Research | |||
| Global Journal of | Type Female Male Total | Workforce 10 10 20 | % 50 50 100 |
| Clinical and paraclinical findings | Workforce | % |
| Labial occlusion | 15 | 75 |
| Lipin occlusion | 5 | 25 |
| Dental ectopy* | 5 | 25 |
| Exaggerated maxillary overhang | 9 | 45 |
| Insufficient maxillary overhang | 6 | 30 |
| Normal maxillary overhang | 5 | 25 |
| Hemi symmetrical arches | 16 | 80 |
| A symmetrical arch hemi | 4 | 20 |
| Incisal overlap | ||
| 2-3 mm | 5 | 25 |
| ?3mm | 11 | 55 |
| ?1mm | 4 | 20 |
| (*) Ectopy of maxillary canines |
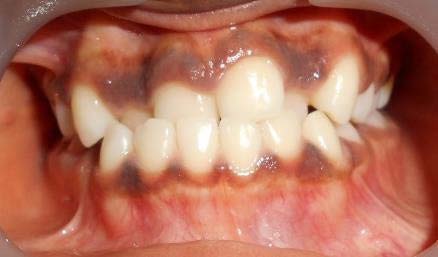
| Patient SB14-year-old patient with | During orthodontic treatment | After orthodontic treatment |
| an anterior reverse occlusion (11,12; | ||
| 22) of the maxilla prior to | springs and elevation of the | |
| orthodontic treatment |
Aesthetic management of anterior dental anomalies: a clinical case International. 10.1016/j.ortho.2016.07.005. http://dx.doi.org/10.1016/j.ortho.2016.07.005 Orthodontics 2016. 14 p. .
Prevalence of malocclusions and orthodontic treatment need in 8-to 12-year-old schoolchildren in Casablanca, Morocco. 10.1016/j.pio.2011.09.005. Progress in orthodontics 2012 Sep. 13 (2) p. .
Prevalence of dental anomalies in French orthodontic patients: A retrospective study. 10.1016/j.arcped.2018.07.002. https://doi.org/10.1016/j.arcped.2018.07.002 Arch-Pediatrics 2018. 25 p. .
Investigation of prevalence of dental anomalies by using digital panoramic radiographs. 10.5603/FM.a2017.0087. https://doi.org/10.5603/FM.a2017.0087 Folia Morphol 2018. 77 p. .
Frequency and association of maxillary ectopic canine with incisor root resorption and dental agenesis. J Pak Med Assoc 2021. 71 (1) .
Prevalence of dental anomalies in various malocclusions. 10.1016/j.ajodo.2007.03.030. https://doi.org/10.1016/j.ajodo.2007.03.030 Am J Orthod Dentofacial Orthop 2009. 135 p. .
Prevalence of Need of Orthodontic Treatmentin7-16-Year-Old School Children in Udaipur City. 10.5152/TurkJOrthod.2017.17022. https://doi.org/10.5152/TurkJOrthod.2017.17022 TurkJOrthod 2017. India. 30 p. .
Orthodontic treatment complexity, outcome and need among school age patients of Lithuanian university of health sciences clinic of orthodontics Stomatologija. Baltic Dental and Maxillofacial Journal 2019. 21 p. .
Association between normative need for orthodontic treatment and autopercu need in a¸ Lebanese population. 10.1016/j.ortho.2016.07.002. http://dx.doi.org/10.1016/j.ortho.2016.07.002 International Orthodontics 2016. 14 p. .
Prevalence of dental malocclusions and need for orthodontic treatment among students inthe city of Boromo. Rev Col Odonto-Stomatol Afr Chir Maxillo-fac 2020. 27 p. 45.