ens invaginatus, or dens in dente, is a tooth maldevelopment with bizarre dental hard tissue arrangement due to the enamel organ invasion into the tooth pulp chamber before the dental tissues have become mineralized. It begins at the crown and sometimes extends into the root with formation of a pocket or dead space, or it is an accentuation of the lingual pit of an incisor before calcification sets in (Hegde et al.) Dens invaginatus is a rarther frequent malformation (2-3 %) (Grahnen et al., 1953).
The clinical case below illustrates the importance of comprehensive diagnosis in determining the tactics of endodontic treatment and revealing the cause of the endopathology.
Female patient K., 23 years old, was referred by an orthodontist. Orthodontic treatment was being planned and it was necessary to come up with the tactics of managing tooth 22. The following diagnostic tools were used:
1. Periapical X-rays; 2. Cone beam CT scans 3. Instrumental diagnostics was also employed, of which the cold test turned out to be the most informative.
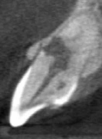
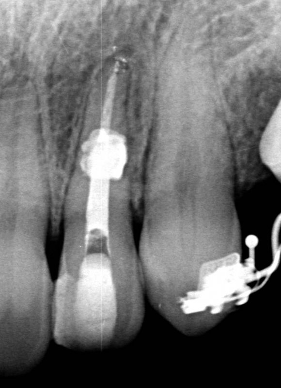
The X-ray snapshots showed signs of internal resorption in tooth 2.2.
The CBCT revealed intraroot perforating resorption on the vestibular root surface. In addition, a possible cause of resorption was identified as Oehlers' Type I invagination (1957), which was based on the radiological findings. According to the classification, Type I invagination is covered with enamel and is located within the coronal part, extending no further than the enamel-dentin junction. The authors believe that the infected invagination zone with subsequent creeping infection of the root pulp brought about the resorption. The response to the cold stimulus was very insignificant, especially in comparison with tooth 12. This made it clear that an irreversible destructive process is going on in the damaged tooth. Since the patient was planning orthodontic treatment and the resorption process could grow worse, it was decided to conduct endodontic treatment.
The diagnosis presented some difficulties and it was necessary to discriminate between internal and external resorption, as they require dififerent treatment tactics. While external resorption provides for either observation or surgery, depending on the extent of the defect and location, internal resorption often implies endodontic treatment.
The criteria for differential diagnosis included the following:
The radiographic findings were very similar to external resorption, but some moments were not typical of it.
In favor of external resorption was the shape of the defect, with the wider defect facing the bone, the shape of the defect was not rounded, which would be characteristic of internal resorption.
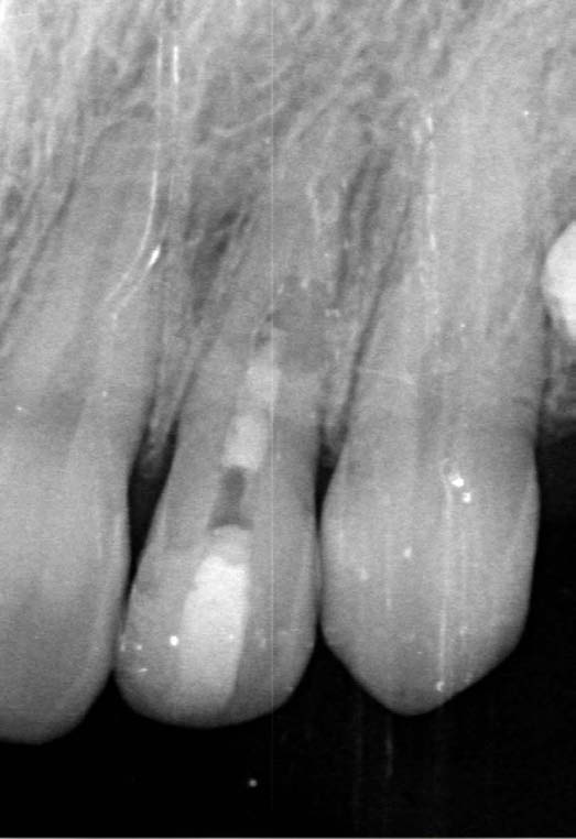
Also, there were signs in favor of internal resorption. The defect was below the cervical part, which is not typical of external cervical resorption. The response to cold stimuli reduced, which is not characteristic of external resorption, as it affects the pulp only in the last stages of tooth structures decay. Furthermore, the X-ray obliteration of the root canal beyond the resorption area is not characteristic of external resorption. Visit 1: Pre-op X-ray plus anesthesia with sol. Ubisthesini 4% -1 ml, isolation with rubberdam. The access was made as close as possible to the incisal edge. When opened, at first glance the pulp chamber looked quite II.
The patient started orthodontic treatment, however, tooth 2.2 was temporarily not included in the orthodontic therapy at the endodontist's request, who was willing to observe it for a year. Furthermore, increased resorption could have been provoked. As of today, the tooth is included in the orthodontic treatment and is being followed up.
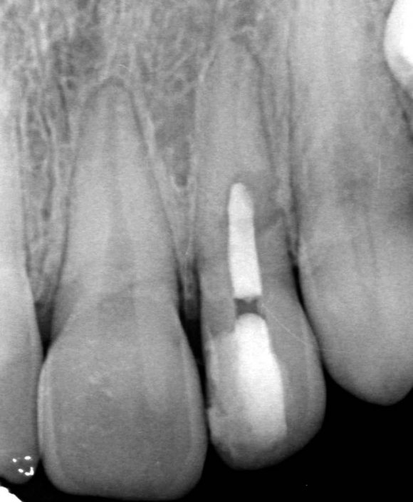
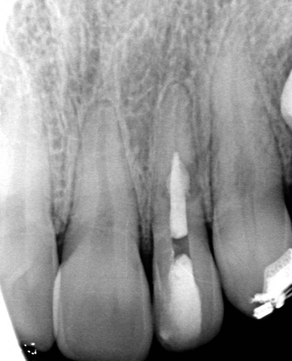
In eighteen-month time, the stabilized process is observed, meaning that the diagnosis has been correct and the manual work has been performed without problems. No complaints are observed.
The difference between internal and external resorption lies in the fact that high-quality removal of granulation tissue by mechanical and chemical (calcium hydroxide) techniques allows for achieving a high level of recuperation. Also, an accurate DI diagnosis makes it possible to seal the invaginated area at the early stages before pulp-associated complications occur, which would later require comprehensive endodontic treatment. Other approaches and tactics for treating teeth with invaginations are described in previous articles by the authors.











